後牙開咬之謎
為什麼會發生後牙開咬?這種情況究竟是好事還是壞事?又該如何改善呢?
這些年來,有許多人問過我:「我的後牙開咬該怎麼辦?」許多提問的人都是 Starecta 團體的成員,他們看過我在 2015~2016 年發表的一些舊文章。那段時間可以說是我經營 Facebook 社團的「黃金時期」,因為我幾乎每天都在上面發文,哈哈。
所以在這篇文章裡,我打算好好談談後牙開咬的來龍去脈。
什麼是「後牙開咬」?
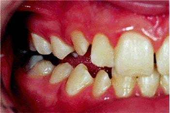
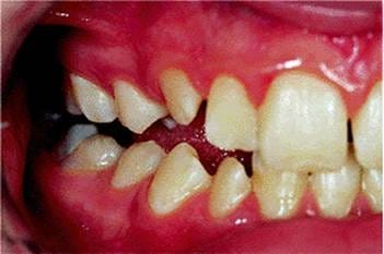
所謂後牙開咬,是指當你咬合時,前面的牙齒(門牙)有互相接觸,但後面的牙齒卻沒有咬在一起,就像上圖所示的情況。在理想的健康咬合裡,閉口時每一顆牙齒都應該有接觸。然而,這並不表示要健康就非得每一顆牙齒都接觸不可。
我自己的後牙開咬已經很多年了,而且在過去這幾年裡,即使整天都維持著這樣開咬的狀態,我的整體改善進展依然非常快。為什麼呢?因為我晚上睡覺時會戴 Myobrace,它能讓我的上、下牙齒保持距離,讓整個口顎結構處於伸展的狀態。
它們是怎麼發生的?
依我的經驗,只要你長時間在上下牙之間放入某種裝置,都很容易造成後牙開咬。這個裝置可能是咬合板、牙套,甚至是在牙齒上墊了一層補牙用的樹脂。這些東西只要使用得夠久,都會讓你出現後牙開咬。
這是好事還是壞事?
我並不認為後牙開咬本身是好是壞。在你改善身體狀況的過程中,出現這種開咬其實是個必然現象。
想想看……如果你跟大多數人一樣,你的牙齒其實本來應該再多長出約 4~5 毫米的高度,就像下面這副頭骨所示。
擁有這樣的牙齒和頭骨結構,可以肯定這個人生前身強體壯、相貌英俊。
而人體其他部分的生物力學運作也早已預設:只有在牙齒額外增加那 4~5 毫米高度時才能達到最佳狀態。所以,如果你想讓整個身體和頭骨都被撐開,好像真的擁有了多出那 4~5 毫米的牙齒高度一樣,那麼在開始實現這個目標時,你的牙齒之間勢必要出現一條縫隙。畢竟此時你的牙齒已經不可能真的再長高到那種程度了。然而,有些人堅持認為後牙必須要有咬合接觸才行。舉例來說,Starecta 團隊就提倡所謂的「臼齒槓桿」理論。不過,我可以很肯定地說,我認為這種看法是錯的。
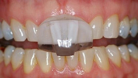
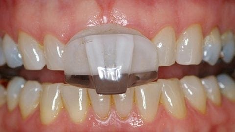
幾年前我曾經連續幾個月使用一種只有前牙有接觸點的咬合板(就像上圖的 NTI 咬合板)。結果我發現,它對身體結構的拉伸效果和讓後牙接觸時完全沒有差別。關鍵就在於,讓上下牙齒之間保持空隙,但又不要讓咬合關係鎖定在一個固定的位置上(也就是不要讓上下排牙齒鎖死咬合在某個固定姿勢上)。
需要「矯正」它嗎?
坦白說,這個問題很微妙,因為我的答案可以說是「需要」,也可以說「不需要」。依我看,你不需要急著把後牙開咬永久矯正回去——至少在你的整個改善旅程尚未結束、而你對結果還不滿意之前,都不需要這麼做。在此之前,你只要每天晚上睡覺時戴著夜間護齒套或 Myobrace 來提供支撐就好。但同時,你也絕對不可以在睡覺時什麼都不戴,任由開咬的後牙沒有任何支撐地閒置。換言之,千萬別指望後牙開咬可以「自然」自行閉合回去。
如果你那樣做,你的身體和頭骨將會加速進入自然塌陷的過程——也就是我們所說的老化。我這些年來已經多次親身測試和觀察過這點。最近的一次是在 2020 年,那時我將近九個月的時間每晚都讓後牙開著咬合空隙入睡,完全沒戴任何裝置。我估計自己的老化速度大約是正常的五到十倍。到了 2020 年底時,我整個人看起來慘不忍睹,身體機能狀態也差到爆。那時因為完全無法集中精神,我的身心狀況恐怕已經相當於 60 歲的人了。
該如何「修復」?
當你決定要把後牙開咬永久地解決時,最簡單有效的方式就是請牙醫在你左右兩邊最後面的下排臼齒上墊高一層複合樹脂(補牙用的材料)。樹脂加高的高度應該足夠,讓你在咬合時前牙之間能留出幾毫米的縫隙,而只有後面的牙齒互相接觸得到。另外,墊上的樹脂表面應該是平坦的。你不希望因此鎖定一個固定的咬合關係(也就是說,上下牙齒不該嚙合在某個固定的位置上),為什麼呢?因為你還想繼續改善,而你的咬合還會隨之持續演變。
我已經在我兒子的牙齒上用這種平坦複合樹脂墊高的技巧超過三年了。所以我講的可不只是理論——我對這個方法非常有信心,甚至敢用在自己現在 10 歲的兒子身上。而這幾年下來,我兒子的變化十分驚人:他徹底改掉了用嘴巴呼吸的習慣,睡得更香甜,更重要的是牙齒之間的空隙大幅增加,整個頭顱的發育也明顯加快了。
其實早在幾十年前,就有牙醫在小孩子身上使用這種平坦樹脂墊高的方法,而且一直獲得了很不錯的結果。想了解更多相關資訊,你可以搜尋「Planas tracks」,並參考相關研究,例如這篇論文:ncbi.nlm.nih.gov/pmc/articles/PMC5789147/
下次見啦~~~~~!
Ken 是 Reviv 品牌的創辦人,而我們是他在台灣的合作夥伴,致力於將他的理念透過 Reviv R1/R2 夜間護齒套帶給更多有需要的人。目前 Reviv R1/R2 護齒套已經可以在台灣取得(此產品為居家口腔保健用品),並已經幫助許多使用者在打鼾、磨牙、腦霧、睡眠品質、下顎緊張等方面得到改善。許多用戶的親身經驗都證實了它帶來的正面改變。如果你對文章中的觀點產生共鳴,或對 Reviv 夜間護齒套感到好奇,歡迎隨時與我們聯繫、交流、進一步了解。我們也期待有更多朋友加入我們的行列,一起挑戰傳統觀念,探索牙齒與全身健康的更多可能性!
Substack:https://substack.com/@revivtaiwan
YouTube:https://www.youtube.com/@Reviv-taiwan
TikTok:https://www.tiktok.com/@revivmouthguardtaiwan
Facebook:https://www.facebook.com/profile.php?id=61580353137839
Instagram:https://www.instagram.com/revivmouthguardtaiwan/
官方網站:https://revivtaiwan.com/







